CD2单克隆抗体[3D1E3]

AccuSift
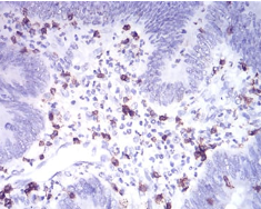
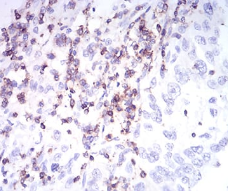
CD2 Mouse Monoclonal antibody[3D1E3]
T11; SRBC; LFA-2
货号 名称 规格 价格 货期 数量
AC1570 CD2单克隆抗体[3D1E3] 50ug ¥1250 1周
AC1570 CD2单克隆抗体[3D1E3] 100ug ¥2200 1周

CD2 is a surface antigen of the human T-lymphocyte lineage that is expressed on all peripheral blood T cells (summarized by Sewell et al., 1986 [PubMed 3490670]). It is one of the earliest T-cell markers, being present on more than 95% of thymocytes; it is also found on some natural killer cells but not on B lymphocytes. Monoclonal antibodies directed against CD2 inhibit the formation of rosettes with sheep erythrocytes, indicating that CD2 is the erythrocyte receptor or is closely associated with it.



Aliases:    T11; SRBC; LFA-2    

Entrez GeneID:    914    

Swissprot:    P06729    

WB Predicted band size:    39.4kDa    

Host/Isotype:    Mouse IgG1    

Species Reactivity :   Mouse    

Immunogen:    Purified recombinant fragment of human CD2 (AA: 25-140) expressed in E. Coli.    

操作说明

WB    1/500 - 1/2000    

IHC    1/200 - 1/1000    

FCM    1/200 - 1/400    

ELISA    1/10000    

参考文献

CD2单克隆抗体[3D1B4]
CD20单克隆抗体[3E9D]
CD200 单克隆抗体[3G1C9]
CD201单克隆抗体[7B7F6]
CD202B单克隆抗体[3F5B9]
CD203C单克隆抗体[4C1H2]
CD204单克隆抗体[5B8H4]
CD205单克隆抗体[4B16]
CD206单克隆抗体[1E164]
CD206单克隆抗体[4B11C]
CD207单克隆抗体[1C5A5]
CD208单克隆抗体[7E12C]
CD209单克隆抗体[5C2A6]
CD209单克隆抗体[5C2G9]
CD21单克隆抗体[2D2H6]
CD210单克隆抗体[4D3A9]
CD210单克隆抗体[8A2A5]
CD213A1单克隆抗体[8A3E3]
CD215单克隆抗体[5F10D]
CD217单克隆抗体[6H1B1]
CD218A单克隆抗体[2B7E6]
CD22单克隆抗体[1A3A1]
CD22单克隆抗体[2H1C4]
CD220单克隆抗体[1A1G3]
CD220单克隆抗体[2A4H9]
CD222单克隆抗体[4F1G1]
CD222单克隆抗体[7B5E51]
CD223单克隆抗体[4H6A3]
CD226单克隆抗体[4D8E]
CD226单克隆抗体[5C3F]
CD227单克隆抗体[3B10]
CD230单克隆抗体[3G10G]
CD232单克隆抗体[2H111]
CD232单克隆抗体[3C610]
CD235a单克隆抗体[2D5A6]
CD239单克隆抗体[5C5A6]
CD239单克隆抗体[8C4E6]
CD24单克隆抗体[4F4E1]
CD243单克隆抗体[4G6F4]
CD244单克隆抗体[4A1A6]
CD244单克隆抗体[4A6H8]
CD247单克隆抗体[4B110]
CD248单克隆抗体[1H11A]
CD256单克隆抗体[2C2C]
CD258单克隆抗体[1D5D1]
CD258单克隆抗体[1F4A5]
CD267单克隆抗体[1F6B3]
CD267单克隆抗体[5F11B]
CD268单克隆抗体[5A9B1]
CD268单克隆抗体[5A9B6]
CD269单克隆抗体[1D129]
CD27单克隆抗体[3B6D3]
CD273单克隆抗体[5F4H1]
CD273单克隆抗体[5H8B1]
CD274单克隆抗体[6D9A2]
TNFRSF11A/CD265单克隆抗体[2B5A2]
CD274单克隆抗体[7D2A1]
TNFRSF11A/CD265单克隆抗体[3A9G2]
CD275单克隆抗体[1G6E1]
CD276单克隆抗体[6A1C]
CD281单克隆抗体[3B1D8]
CD281单克隆抗体[8C1G8]
CD283单克隆抗体[6F3G4]
CD289单克隆抗体[5B10E]
CD298单克隆抗体[2B3G1]
CD298单克隆抗体[2D3B5]
CD299单克隆抗体[8A1B]