CD276单克隆抗体[6A1C]

AccuSift
CD276 Mouse Monoclonal antibody[6A1C]
B7H3; B7-H3; 4Ig-B7-H3; CD276
货号 名称 规格 价格 货期 数量
AC1635 CD276单克隆抗体[6A1C] 50ug ¥1250 1周
AC1635 CD276单克隆抗体[6A1C] 100ug ¥2200 1周

Costimulatory B7 molecules (e.g., B7-1, or CD80; MIM 112203) signal through CD28 (MIM 186760) family molecules such as CD28, CTLA4 (MIM 123890), and ICOS (MIM 604558). May participate in the regulation of T-cell-mediated immune response. May play a protective role in tumor cells by inhibiting natural-killer mediated cell lysis as well as a role of marker for detection of neuroblastoma cells. May be involved in the development of acute and chronic transplant rejection and in the regulation of lymphocytic activity at mucosal surfaces. Could also play a key role in providing the placenta and fetus with a suitable immunological environment throughout pregnancy. Both isoform 1 and isoform 2 appear to be redundant in their ability to modulate CD4 T-cell responses. Isoform 2 is shown to enhance the induction of cytotoxic T-cells and selectively stimulates interferon gamma production in the presence of T-cell receptor signaling.



Aliases:    B7H3; B7-H3; 4Ig-B7-H3; CD276    

Entrez GeneID :   80381    

Swissprot :   Q5ZPR3    

WB Predicted band size:    57kDa    

Host/Isotype:    Mouse IgG1    

Species Reactivity :   Human,Mouse,Rat,Rabbit,Monkey    

Immunogen :   Purified recombinant fragment of human CD276 expressed in E. Coli.    

操作说明

WB    1/500 - 1/2000    

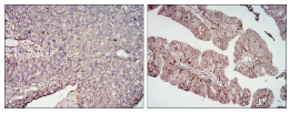
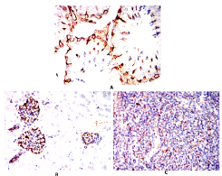
IHC    1/100 - 1/500    

IF/ICC    1/50 - 1/500    

FCM    1/200 - 1/400    

ELISA    1/10000    

参考文献