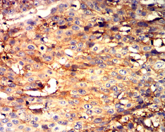
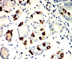
CD298单克隆抗体[2B3G1]

AccuSift
CD298 Mouse Monoclonal antibody[2B3G1]
ATP1B3; ATPB-3
货号 名称 规格 价格 货期 数量
AC1641 CD298单克隆抗体[2B3G1] 50ug ¥1250 1周
AC1641 CD298单克隆抗体[2B3G1] 100ug ¥2200 1周

The protein encoded by this gene belongs to the family of Na+/K+ and H+/K+ ATPases beta chain proteins, and to the subfamily of Na+/K+ -ATPases. Na+/K+ -ATPase is an integral membrane protein responsible for establishing and maintaining the electrochemical gradients of Na and K ions across the plasma membrane. These gradients are essential for osmoregulation, for sodium-coupled transport of a variety of organic and inorganic molecules, and for electrical excitability of nerve and muscle. This enzyme is composed of two subunits, a large catalytic subunit (alpha) and a smaller glycoprotein subunit (beta). The beta subunit regulates, through assembly of alpha/beta heterodimers, the number of sodium pumps transported to the plasma membrane. The glycoprotein subunit of Na+/K+ -ATPase is encoded by multiple genes. This gene encodes a beta 3 subunit. This gene encodes a beta 3 subunit. A pseudogene exists for this gene, and it is located on chromosome 2.



Aliases:    ATP1B3; ATPB-3    

Entrez GeneID:    483    

Swissprot:    P54709    

WB Predicted band size:    31.5kDa    

Host/Isotype :   Mouse IgG1    

Species Reactivity:   Human    

Immunogen :   Purified recombinant fragment of human CD298 (AA: extra 57-279) expressed in E. Coli.    

操作说明

IHC    1/200 - 1/1000    

FCM    1/200 - 1/400    

ELISA    1/10000    

参考文献