CD267单克隆抗体[1F6B3]

AccuSift
CD267 Mouse Monoclonal antibody[1F6B3]
CVID; RYZN; TACI; CD267; CVID2; IGAD2; TNFRSF14B
货号 名称 规格 价格 货期 数量
AC1622 CD267单克隆抗体[1F6B3] 50ug ¥1250 1周
AC1622 CD267单克隆抗体[1F6B3] 100ug ¥2200 1周

The protein encoded by this gene is a lymphocyte-specific member of the tumor necrosis factor (TNF) receptor superfamily. It interacts with calcium-modulator and cyclophilin ligand (CAML). The protein induces activation of the transcription factors NFAT, AP1, and NF-kappa-B and plays a crucial role in humoral immunity by interacting with a TNF ligand. This gene is located within the Smith-Magenis syndrome region on chromosome 17. [provided by RefSeq, Jul 2008]



Aliases:    CVID; RYZN; TACI; CD267; CVID2; IGAD2; TNFRSF14B    

Entrez GeneID :   23495    

Swissprot:    O14836    

WB Predicted band size:    31.8kDa    

Host/Isotype :   Mouse IgG1    

Species Reactivity:    Human    

Immunogen:    Purified recombinant fragment of human CD267 (AA: extra(1-165)) expressed in E. Coli.    

操作说明

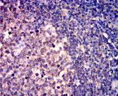
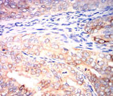
IHC    1/200-1/1000    

FCM    1/200-1/400    

ELISA    1/10000    

参考文献