CD239单克隆抗体[8C4E6]

AccuSift
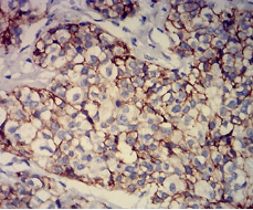
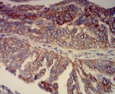
CD239 Mouse Monoclonal antibody[8C4E6]
BCAM; AU; LU; MSK19
货号 名称 规格 价格 货期 数量
AC1612 CD239单克隆抗体[8C4E6] 50ug ¥1250 1周
AC1612 CD239单克隆抗体[8C4E6] 100ug ¥2200 1周

This gene encodes Lutheran blood group glycoprotein, a member of the immunoglobulin superfamily and a receptor for the extracellular matrix protein, laminin. The protein contains five extracellular immunoglobulin domains, a single transmembrane domain, and a short C-terminal cytoplasmic tail. This protein may play a role in epithelial cell cancer and in vaso-occlusion of red blood cells in sickle cell disease. Polymorphisms in this gene define some of the antigens in the Lutheran system and also the Auberger system. Inactivating variants of this gene result in the recessive Lutheran null phenotype, Lu(a-b-), of the Lutheran blood group. Two transcript variants encoding different isoforms have been found for this gene.



Aliases:    BCAM; AU; LU; MSK19    

Entrez GeneID:    4059    

Swissprot:    P50895     

WB Predicted band size:    67.4kDa    

Host/Isotype :   Mouse IgG2a    

Species Reactivity:    Human    

Immunogen :   Purified recombinant fragment of human CD239 (AA: extra 32-197) expressed in E. Coli.    

操作说明

IHC    1/200 - 1/1000    

FCM    1/200 - 1/400    

ELISA    1/10000    

参考文献