CD274单克隆抗体[6D9A2]

AccuSift
CD274 Mouse Monoclonal antibody[6D9A2]
B7-H; B7H1; PDL1; PD-L1; PDCD1L1; PDCD1LG1
货号 名称 规格 价格 货期 数量
AC1632 CD274单克隆抗体[6D9A2] 50ug ¥1250 1周
AC1632 CD274单克隆抗体[6D9A2] 100ug ¥2200 1周

This gene encodes an immune inhibitory receptor ligand that is expressed by hematopoietic and non-hematopoietic cells, such as T cells and B cells and various types of tumor cells. The encoded protein is a type I transmembrane protein that has immunoglobulin V-like and C-like domains. Interaction of this ligand with its receptor inhibits T-cell activation and cytokine production. During infection or inflammation of normal tissue, this interaction is important for preventing autoimmunity by maintaining homeostasis of the immune response. In tumor microenvironments, this interaction provides an immune escape for tumor cells through cytotoxic T-cell inactivation. Expression of this gene in tumor cells is considered to be prognostic in many types of human malignancies, including colon cancer and renal cell carcinoma. Alternative splicing results in multiple transcript variants.



Aliases :   B7-H; B7H1; PDL1; PD-L1; PDCD1L1; PDCD1LG1    

Entrez GeneID :   29126    

Swissprot :   Q9NZQ7    

WB Predicted band size:    33.3kDa    

Host/Isotype:    Mouse IgG2b    

Species Reactivity:    Human    

Immunogen:    Purified recombinant fragment of human CD274 (AA: 24-153) expressed in E. Coli.    

操作说明

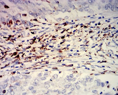
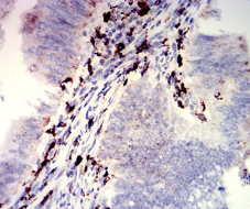
IHC    1/200 - 1/1000    

FCM    1/200 - 1/400    

ELISA    1/10000    

参考文献