CD227单克隆抗体[3B10]

AccuSift
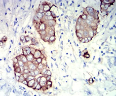
CD227 Mouse Monoclonal antibody[3B10]
MUC1; EMA; MCD; PEM; PUM; KL-6; MAM6; MCKD; PEMT; H23AG; MCKD1; MUC-1; ADMCKD; ADMCKD1; CA 15-3; MUC-1/X; MUC1/ZD; MUC-1/SEC
货号 名称 规格 价格 货期 数量
AC1606 CD227单克隆抗体[3B10] 50ug ¥1250 1周
AC1606 CD227单克隆抗体[3B10] 100ug ¥2200 1周

This gene encodes a membrane-bound protein that is a member of the mucin family. Mucins are O-glycosylated proteins that play an essential role in forming protective mucous barriers on epithelial surfaces. These proteins also play a role in intracellular signaling. This protein is expressed on the apical surface of epithelial cells that line the mucosal surfaces of many different tissues including lung, breast stomach and pancreas. This protein is proteolytically cleaved into alpha and beta subunits that form a heterodimeric complex. The N-terminal alpha subunit functions in cell-adhesion and the C-terminal beta subunit is involved in cell signaling. Overexpression, aberrant intracellular localization, and changes in glycosylation of this protein have been associated with carcinomas. This gene is known to contain a highly polymorphic variable number tandem repeats (VNTR) domain. Alternate splicing results in multiple transcript variants.



Aliases :   MUC1; EMA; MCD; PEM; PUM; KL-6; MAM6; MCKD; PEMT; H23AG; MCKD1; MUC-1; ADMCKD; ADMCKD1; CA 15-3; MUC-1/X; MUC1/ZD; MUC-1/SEC    

Entrez GeneID :   4582    

Swissprot :   P15941      

WB Predicted band size:    122.1kDa    

Host/Isotype :   Mouse IgG1    

Species Reactivity :   Human    

Immunogen:    Purified recombinant fragment of human CD227 (AA: extra 66-175) expressed in E. Coli.    

操作说明

IHC    1/200 - 1/1000    

FCM    1/200 - 1/400    

ELISA    1/10000    

参考文献