CD204单克隆抗体[5B8H4]

AccuSift
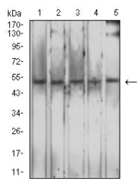
CD204 Mouse Monoclonal antibody[5B8H4]
MSR1; SRA; SR-A; SR-AI; phSR1; phSR2; SCARA1; SR-AII; SR-AIII
货号 名称 规格 价格 货期 数量
AC1577 CD204单克隆抗体[5B8H4] 50ug ¥1250 1周
AC1577 CD204单克隆抗体[5B8H4] 100ug ¥2200 1周

This gene encodes the class A macrophage scavenger receptors, which include three different types (1, 2, 3) generated by alternative splicing of this gene. These receptors or isoforms are macrophage-specific trimeric integral membrane glycoproteins and have been implicated in many macrophage-associated physiological and pathological processes including atherosclerosis, Alzheimer's disease, and host defense. The isoforms type 1 and type 2 are functional receptors and are able to mediate the endocytosis of modified low density lipoproteins (LDLs). The isoform type 3 does not internalize modified LDL (acetyl-LDL) despite having the domain shown to mediate this function in the types 1 and 2 isoforms. It has an altered intracellular processing and is trapped within the endoplasmic reticulum, making it unable to perform endocytosis. The isoform type 3 can inhibit the function of isoforms type 1 and type 2 when co-expressed, indicating a dominant negative effect and suggesting a mechanism for regulation of scavenger receptor activity in macrophages.



Aliases:    MSR1; SRA; SR-A; SR-AI; phSR1; phSR2; SCARA1; SR-AII; SR-AIII    

Entrez GeneID:    4481    

Swissprot:    P21757    

WB Predicted band size :   49.8kDa    

Host/Isotype:    Mouse IgG1    

Species Reactivity :   Human    

Immunogen :   Purified recombinant fragment of human CD204 (AA: extra 275-451) expressed in E. Coli.    

操作说明

WB    1/500 - 1/2000    

FCM    1/200 - 1/400    

ELISA    1/10000    

参考文献