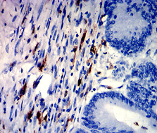
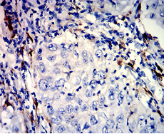
CD226单克隆抗体[5C3F]

AccuSift
CD226 Mouse Monoclonal antibody[5C3F]
PTA1; DNAM1; DNAM-1; TLiSA1
货号 名称 规格 价格 货期 数量
AC1604 CD226单克隆抗体[5C3F] 50ug ¥1250 1周
AC1604 CD226单克隆抗体[5C3F] 100ug ¥2200 1周

This gene encodes a glycoprotein expressed on the surface of NK cells, platelets, monocytes and a subset of T cells. It is a member of the Ig-superfamily containing 2 Ig-like domains of the V-set. The protein mediates cellular adhesion of platelets and megakaryocytic cells to vascular endothelial cells. The protein also plays a role in megakaryocytic cell maturation. Alternative splicing results in multiple transcript variants.



Aliases :   PTA1; DNAM1; DNAM-1; TLiSA1    

Entrez GeneID:   10666    

Swissprot :   Q15762     

WB Predicted band size:    38.6kDa    

Host/Isotype:    Mouse IgG1    

Species Reactivity :   Human    

Immunogen:    Purified recombinant fragment of human CD226 (AA: extra 19-254) expressed in E. Coli.    

操作说明

IHC    1/200 - 1/1000    

FCM    1/200 - 1/400    

ELISA    1/10000    

参考文献