RB单克隆抗体[7E4B8]

AccuSift
RB Mouse Monoclonal antibody[7E4B8]
RB; pRb; OSRC; pp110; p105-Rb; RB1
货号 名称 规格 价格 货期 数量
AC3365 RB单克隆抗体[7E4B8] 50ug ¥1250 1周
AC3365 RB单克隆抗体[7E4B8] 100ug ¥2200 1周

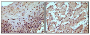
The Rb protein regulates differentiation, apoptosis, and cell cycle control by coordinating the cell cycle at G1-S with transcriptional machinery. During G1, cyclin D-dependent kinase-mediated phosphorylation of Rb at Ser-795 marks the conversion of Rb from a transcriptionally repressive, hypophosphorylated state to an inactive, phosphorylated state, which may be sustained through mitosis by differential phosphorylation of up to 16 putative serine or threonine residues. Pediatric cancer retinoblastoma and the formation of other human tumors can be attributed to mutations in the retinoblastoma tumor suppressor gene(Rb).


Aliases:    RB; pRb; OSRC; pp110; p105-Rb; RB1    

Entrez GeneID:    5925    

Swissprot:    P06400    

Host/Isotype:    Mouse IgG1      

Species Reactivity:    Human    

Immunogen:    Purified recombinant fragment of human RB expressed in E. Coli.  

操作说明

IHC    1/200 - 1/1000    

ELISA    1/10000    

参考文献