ERBB2单克隆抗体[6C2C1]

AccuSift
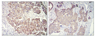
ERBB2 Mouse Monoclonal antibody[6C2C1]
NEU; HER2; TKR1; CD340; HER-2
货号 名称 规格 价格 货期 数量
AC2178 ERBB2单克隆抗体[6C2C1] 50ug ¥1250 1周
AC2178 ERBB2单克隆抗体[6C2C1] 100ug ¥2200 1周

ERBB2: v-erb-b2 erythroblastic leukemia viral oncogene homolog 2, neuro/glioblastoma derived oncogene homolog (avian). This gene encodes a member of the epidermal growth factor (EGF) receptor family of receptor tyrosine kinases. This protein has no ligand binding domain of its own and therefore cannot bind growth factors. However, it does bind tightly to other ligand-bound EGF receptor family members to form a heterodimer, stabilizing ligand binding and enhancing kinase-mediated activation of downstream signalling pathways, such as those involving mitogen-activated protein kinase and phosphatidylinositol-3 kinase. Allelic variations at amino acid positions 654 and 655 of isoform a (positions 624 and 625 of isoform b) have been reported, with the most common allele, Ile654/Ile655, shown here. Amplification and/or overexpression of this gene has been reported in numerous cancers, including breast and ovarian tumors. Alternative splicing results in several additional transcript variants, some encoding different isoforms and others that have not been fully characterized.



Aliases:    NEU; HER2; TKR1; CD340; HER-2    

Entrez GeneID:    2064    

Swissprot:    P04626     

WB Predicted band size:    180kDa    

Host/Isotype:    Mouse IgG1    

Species Reactivity:    Human,Mouse    

Immunogen:    Purified recombinant fragment of human ERBB2(aa750-987) expressed in E. Coli.    

操作说明

WB    1/500 - 1/2000    

IHC    1/200 - 1/1000    

FCM    1/200 - 1/400    

ELISA    1/10000    

参考文献