RBMXL3单克隆抗体[1B6F4]

AccuSift
RBMXL3 Mouse Monoclonal antibody[1B6F4]
CXorf55
货号 名称 规格 价格 货期 数量
AC3374 RBMXL3单克隆抗体[1B6F4] 50ug ¥1250 1周
AC3374 RBMXL3单克隆抗体[1B6F4] 100ug ¥2200 1周


RBMXL3 (RBMX Like 3) is a Protein Coding gene. Diseases associated with RBMXL3 include Cardiomyopathy, Familial Restrictive, 3. Among its related pathways are mRNA Splicing - Major Pathway. Gene Ontology (GO) annotations related to this gene include nucleic acid binding and nucleotide binding. An important paralog of this gene is RBMXL2.




Aliases:    CXorf55    

Entrez GeneID:    139804    

Swissprot:    Q8N7X1       

WB Predicted band size:    114kDa    

Host/Isotype:    Mouse IgG1     

Species Reactivity:    Human    

Immunogen:    Purified recombinant fragment of human RBMXL3(AA: 862-1067) expressed in E. Coli.    

操作说明

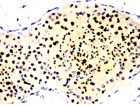
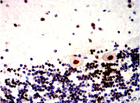
IHC    1/200 - 1/1000    

IF/ICC    1/50 - 1/200    

FCM    1/200 - 1/400    

ELISA    1/10000    

参考文献