CIRBP单克隆抗体[6E12B3]

AccuSift
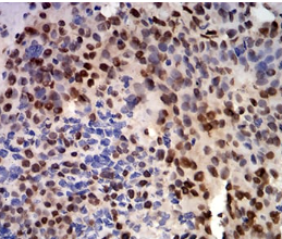
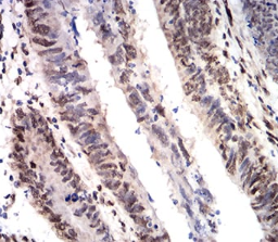
CIRBP Mouse Monoclonal antibody[6E12B3]
CIRP
货号 名称 规格 价格 货期 数量
AC1945 CIRBP单克隆抗体[6E12B3] 50ug ¥1250 1周
AC1945 CIRBP单克隆抗体[6E12B3] 100ug ¥2200 1周

Cold-inducible mRNA binding protein that plays a protective role in the genotoxic stress response by stabilizing transcripts of genes involved in cell survival. Acts as a translational activator. Seems to play an essential role in cold-induced suppression of cell proliferation. Binds specifically to the 3-untranslated regions (3-UTRs) of stress-responsive transcripts RPA2 and TXN. Acts as a translational repressor (By similarity). Promotes assembly of stress granules (SGs), when overexpressed.



Aliases:    CIRP    

Entrez GeneID :   1153    

Swissprot:    Q14011    

WB Predicted band size:    18.6kDa    

Host/Isotype:    Mouse IgG1    

Species Reactivity:    Human    

Immunogen:    Purified recombinant fragment of human CIRBP (AA: 1-90) expressed in E. Coli.    

操作说明

WB    1/500 - 1/2000    

IHC    1/200 - 1/1000    

ELISA    1/10000    

参考文献