RBBP7单克隆抗体[2A10C]

AccuSift
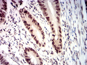
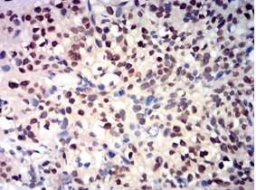
RBBP7 Mouse Monoclonal antibody[2A10C]
RbAp46
货号 名称 规格 价格 货期 数量
AC3369 RBBP7单克隆抗体[2A10C] 50ug ¥1250 1周
AC3369 RBBP7单克隆抗体[2A10C] 100ug ¥2200 1周

This protein is a ubiquitously expressed nuclear protein and belongs to a highly conserved subfamily of WD-repeat proteins. It is found among several proteins that binds directly to retinoblastoma protein, which regulates cell proliferation. The encoded protein is found in many histone deacetylase complexes, including mSin3 co-repressor complex. It is also present in protein complexes involved in chromatin assembly. This protein can interact with BRCA1 tumor-suppressor gene and may have a role in the regulation of cell proliferation and differentiation. Two transcript variants encoding different isoforms have been found for this gene. [provided by RefSeq, Nov 2010]


Aliases:    RbAp46    

Entrez GeneID:    5931    

Swissprot:    Q16576        

WB Predicted band size:    47.8kDa    

Host/Isotype:    Mouse IgG1    

Species Reactivity:    Human,Mouse,Rat    

Immunogen:    Purified recombinant fragment of human RBBP7 (AA: 1-200) expressed in E. Coli.    

操作说明

WB    1/500 - 1/2000    

IHC    1/200 - 1/1000    

IF/ICC    1/200 - 1/500    

FCM    1/200 - 1/400    

ELISA    1/10000    

参考文献