ERBB3单克隆抗体[3F10F6]

AccuSift
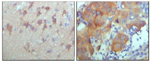
ERBB3 Mouse Monoclonal antibody[3F10F6]
HER3; LCCS2; ErbB-3; c-erbB3; erbB3-S; MDA-BF-1; MGC88033; c-erbB-3; p180-ErbB3; p45-sErbB3; p85-sErbB3; ERBB3
货号 名称 规格 价格 货期 数量
AC2181 ERBB3单克隆抗体[3F10F6] 50ug ¥1250 1周
AC2181 ERBB3单克隆抗体[3F10F6] 100ug ¥2200 1周

ERBB3: v-erb-b2 erythroblastic leukemia viral oncogene homolog 3 (avian). This gene encodes a member of the epidermal growth factor receptor (EGFR) family of receptor tyrosine kinases. This membrane-bound protein has a neuregulin binding domain but not an active kinase domain. It therefore can bind this ligand but not convey the signal into the cell through protein phosphorylation. However, it does form heterodimers with other EGF receptor family members which do have kinase activity. Heterodimerization leads to the activation of pathways which lead to cell proliferation or differentiation. Amplification of this gene and/or overexpression of its protein have been reported in numerous cancers, including prostate, bladder, and breast tumors. Alternate transcriptional splice variants encoding different isoforms have been characterized. One isoform lacks the intermembrane region and is secreted outside the cell. This form acts to modulate the activity of the membrane-bound form. Additional splice variants have also been reported, but they have not been thoroughly characterized.



Aliases:    HER3; LCCS2    

Entrez GeneID:    2065    

Swissprot:    P21860    

Host/Isotype:    Mouse IgG1    

Species Reactivity:    Human    

Immunogen:    Purified recombinant fragment of ERBB3 (aa1175-1275) expressed in E. Coli.    

操作说明

IHC    1/200 - 1/1000    

ELISA    1/10000    

参考文献