HLA-DRB1单克隆抗体[5B3D2]

AccuSift
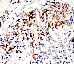
HLA-DRB1 Mouse Monoclonal antibody[5B3D2]
SS1; DRB1; HLA-DRB; HLA-DR1B
货号 名称 规格 价格 货期 数量
AC2455 HLA-DRB1单克隆抗体[5B3D2] 50ug ¥1250 1周
AC2455 HLA-DRB1单克隆抗体[5B3D2] 100ug ¥2200 1周

HLA-DRB1 belongs to the HLA class II beta chain paralogs. The class II molecule is a heterodimer consisting of an alpha (DRA) and a beta chain (DRB), both anchored in the membrane. It plays a central role in the immune system by presenting peptides derived from extracellular proteins. Class II molecules are expressed in antigen presenting cells. The beta chain is approximately 26-28 kDa. It is encoded by 6 exons. Exon one encodes the leader peptide; exons 2 and 3 encode the two extracellular domains; exon 4 encodes the transmembrane domain; and exon 5 encodes the cytoplasmic tail. Within the DR molecule the beta chain contains all the polymorphisms specifying the peptide binding specificities. Hundreds of DRB1 alleles have been described and some alleles have increased frequencies associated with certain diseases or conditions. For example, DRB1*1302 has been related to acute and chronic hepatitis B virus persistence. There are multiple pseudogenes of this gene.



Aliases :   SS1; DRB1; HLA-DRB; HLA-DR1B    

Entrez GeneID:    3123    

Swissprot :   P01911    

WB Predicted band size:    29.9kDa    

Host/Isotype:    Mouse IgG1    

Species Reactivity:    Human    

Immunogen:    Purified recombinant fragment of human HLA-DRB1 (AA: 30-266) expressed in E. Coli.    

操作说明

IHC    1/200 - 1/1000    

FCM    1/200 - 1/400    

ELISA    1/10000    

参考文献