CD10单克隆抗体[2A3H5]

AccuSift
CD10 Mouse Monoclonal antibody[2A3H5]
CALLA, CD10, DKFZp686O16152, MGC126681, MGC126707, NEP
货号 名称 规格 价格 货期 数量
AC1412 CD10单克隆抗体[2A3H5] 50ug ¥1250 1周
AC1412 CD10单克隆抗体[2A3H5] 100ug ¥2200 1周

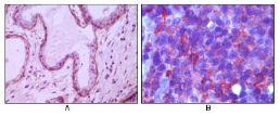
CD10 is a 100kDa glycoprotein, also designated Common Acute Lymphocytic Leukemia Antigen (CALLA). It is a cell surface enzyme with neutral metalloendopeptidase activity which inactivates a variety of biologically active peptides. CD10 is expressed on the cells of lymphoblastic, Burkitt



Aliases :   CD10    

Entrez GeneID:    4311    

Swissprot :   P08473    

Host/Isotype:    Mouse IgG2b    

Species Reactivity:    Human    

Immunogen :   Purified recombinant fragment of human CD-10 expressed in E. Coli.    

操作说明

IHC    1/200 - 1/1000    

ELISA    1/10000    

参考文献