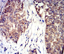
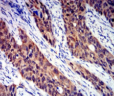
CD100单克隆抗体[5H6E3]

AccuSift
CD100 Mouse Monoclonal antibody[5H6E3]
SEMA4D; SEMAJ; coll-4; C9orf164; M-sema-G
货号 名称 规格 价格 货期 数量
AC1423 CD100单克隆抗体[5H6E3] 50ug ¥1250 1周
AC1423 CD100单克隆抗体[5H6E3] 100ug ¥2200 1周

SEMA4D (Semaphorin 4D) is a Protein Coding gene. Diseases associated with SEMA4D include Hemorrhagic Fever With Renal Syndrome. Among its related pathways are Guidance Cues and Growth Cone Motility and Developmental Biology. GO annotations related to this gene include receptor binding and transmembrane signaling receptor activity. An important paralog of this gene is SEMA4B.



Aliases:    SEMA4D; SEMAJ; coll-4; C9orf164; M-sema-G    

Entrez GeneID:    10507    

Swissprot :   Q92854    

WB Predicted band size:    96.2kDa    

Host/Isotype:    Mouse IgG1    

Species Reactivity:    Human    

Immunogen:    Purified recombinant fragment of human CD100 (AA: extra 590-734) expressed in E. Coli.    

操作说明

IHC    1/200 - 1/1000    

FCM    1/200 - 1/400    

ELISA    1/10000    

参考文献