CD107b单克隆抗体[6A10H]

AccuSift
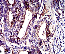
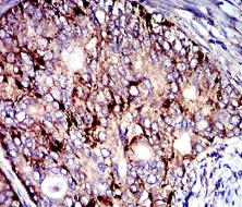
CD107b Mouse Monoclonal antibody[6A10H]
LAMPB; LAMP2; LAMP-2; LGP-96; LGP110
货号 名称 规格 价格 货期 数量
AC1435 CD107b单克隆抗体[6A10H] 50ug ¥1250 1周
AC1435 CD107b单克隆抗体[6A10H] 100ug ¥2200 1周

The protein encoded by this gene is a member of a family of membrane glycoproteins. This glycoprotein provides selectins with carbohydrate ligands. It may play a role in tumor cell metastasis. It may also function in the protection, maintenance, and adhesion of the lysosome. Alternative splicing of this gene results in multiple transcript variants encoding distinct proteins.



Aliases :   LAMPB; LAMP2; LAMP-2; LGP-96; LGP110    

Entrez GeneID:    3920    

Swissprot:    P13473    

WB Predicted band size :   45kDa    

Host/Isotype :   Mouse IgG1    

Species Reactivity:    Human    

Immunogen:    Purified recombinant fragment of human CD107b (AA: extra 29-168) expressed in E. Coli.    

操作说明

IHC    1/200 - 1/1000    

FCM    1/200 - 1/400    

ELISA    1/10000    

参考文献