ACTA2单克隆抗体[5C1H1]

AccuSift
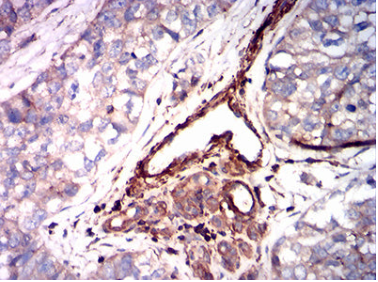
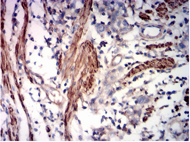
ACTA2 Mouse Monoclonal antibody[5C1H1]
ACTSA
货号 名称 规格 价格 货期 数量
AC1034 ACTA2单克隆抗体[5C1H1] 50ug ¥1250 1周
AC1034 ACTA2单克隆抗体[5C1H1] 100ug ¥2200 1周

This gene encodes one of six different actin proteins. Actins are highly conserved proteins that are involved in cell motility, structure, integrity, and intercellular signaling. The encoded protein is a smooth muscle actin that is involved in vascular contractility and blood pressure homeostasis. Mutations in this gene cause a variety of vascular diseases, such as thoracic aortic disease, coronary artery disease, stroke, and Moyamoya disease, as well as multisystemic smooth muscle dysfunction syndrome.


Aliases :   ACTSA;α-Smooth Muscle Actin;Alpha-actin-2;Alpha actin 2    

Entrez GeneID:    59    

Swissprot :   P62736        

WB Predicted band size:    42kDa    

Host/Isotype:    Mouse IgG1    

Species Reactivity:    Human, Mouse, Rat    

Immunogen:    Purified recombinant fragment of human ACTA2 (AA: 2-124) expressed in E. Coli.    

操作说明

WB    1/500 - 1/2000    

IHC    1/200-1/1000    

FCM    1/200-1/400    

ELISA    1/10000    

参考文献