ACTA2单克隆抗体[4F4D5]

AccuSift
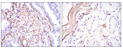
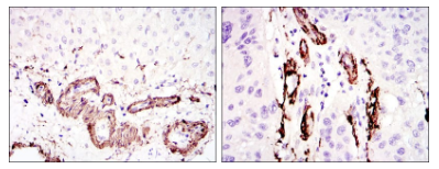
ACTA2 Mouse Monoclonal antibody[4F4D5]
AAT6; ACTSA; ACTA2
货号 名称 规格 价格 货期 数量
AC1032 ACTA2单克隆抗体[4F4D5] 50ug ¥1250 1周
AC1032 ACTA2单克隆抗体[4F4D5] 100ug ¥2200 1周

Actin, alpha 2, smooth muscle, aorta, major constituent of thin filaments.


Aliases :   AAT6; ACTSA; ACTA2;α-Smooth Muscle Actin;Alpha-actin-2;Alpha actin 2    

Entrez GeneID :   59    

Swissprot:    P62736      

WB Predicted band size :  42kDa    

Host/Isotype :   Mouse IgG1    

Species Reactivity :   Human,Monkey    

Immunogen:    Purified recombinant fragment of human ACTA2 expressed in E. Coli.    

操作说明

WB    1/500 - 1/2000    

IHC    1/200 - 1/1000    

ELISA    1/10000    

参考文献