ACTA2单克隆抗体[4A4F5]

AccuSift
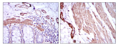
ACTA2 Mouse Monoclonal antibody[4A4F5]
AAT6; ACTSA; α-Smooth Muscle Actin
货号 名称 规格 价格 货期 数量
AC1031 ACTA2单克隆抗体[4A4F5] 50ug ¥1250 1周
AC1031 ACTA2单克隆抗体[4A4F5] 100ug ¥2200 1周

The protein encoded by this gene belongs to the actin family of proteins, which are highly conserved proteins that play a role in cell motility, structure and integrity. Alpha, beta and gamma actin isoforms have been identified, with alpha actins being a major constituent of the contractile apparatus, while beta and gamma actins are involved in the regulation of cell motility. This actin is an alpha actin that is found in skeletal muscle. Defects in this gene cause aortic aneurysm familial thoracic type 6. Multiple alternatively spliced variants, encoding the same protein, have been identified.


Aliases :   AAT6; ACTSA; α-Smooth Muscle Actin;Alpha-actin-2;Alpha actin 2    

Entrez GeneID:    59    

Swissprot:    P62736      

WB Predicted band size :   42kDa    

Host/Isotype :   Mouse IgG1    

Species Reactivity:    Human,Mouse,Rat,Monkey    

Immunogen:    Synthesized peptide of human ACTA2.    

操作说明

WB    1/500 - 1/2000    

IHC    1/200 - 1/500    

IF/ICC    1/50- 1/500    

FCM    1/200 - 1/400    

ELISA    1/10000    

参考文献