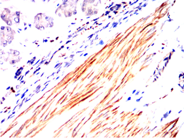
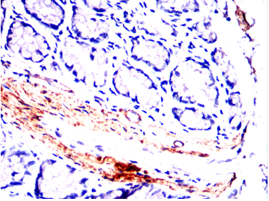
ACTA2单克隆抗体[1H8B8]

AccuSift
ACTA2 Mouse Monoclonal antibody[1H8B8]
AAT6; ACTSA; ACTA2
货号 名称 规格 价格 货期 数量
AC1029 ACTA2单克隆抗体[1H8B8] 50ug ¥1250 1周
AC1029 ACTA2单克隆抗体[1H8B8] 100ug ¥2200 1周

Actin,alpha 2, smooth muscle, aorta, major constituent of thin filaments.


Aliases :   ACTA2;AAT6; ACTSA; ACTA2;α-Smooth Muscle Actin;Alpha-actin-2;Alpha actin 2    

Entrez GeneID :   59    

Swissprot:    P62736     

WB Predicted band size:    42kDa    

Host/Isotype :   Mouse IgG1     

Species Reactivity:    Human,Mouse,Rat,Rabbit,Monkey    

Immunogen :   Purified recombinant fragment of human ACTA2 expressed in E. Coli.    

操作说明

WB    1/500 - 1/2000    

IHC    1/200-1/500    

IF/ICC    1/50 - 1/500    

FCM    1/200 - 1/400    

ELISA    1/10000    

参考文献