CD14单克隆抗体[4B4F1]

AccuSift
CD14 Mouse Monoclonal antibody[4B4F1]
货号 名称 规格 价格 货期 数量
AC1482 CD14单克隆抗体[4B4F1] 50ug ¥1250 1周
AC1482 CD14单克隆抗体[4B4F1] 100ug ¥2200 1周

The protein encoded by this gene is a surface antigen that is preferentially expressed on monocytes/macrophages. It cooperates with other proteins to mediate the innate immune response to bacterial lipopolysaccharide. Alternative splicing results in multiple transcript variants encoding the same protein.



Entrez GeneID:    929    

Swissprot:    P08571      

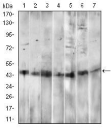
WB Predicted band size:    40kDa    

Host/Isotype :   Mouse IgG1    

Species Reactivity:    Human,Mouse,Rat,Rabbit    

Immunogen:    Purified recombinant fragment of human CD14 (AA: 20-214) expressed in E. Coli.    

操作说明

WB    1/500 - 1/2000    

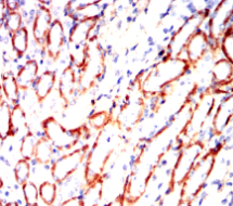
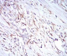
IHC    1/200 - 1/1000    

FCM    1/200 - 1/400    

ELISA    1/10000    

参考文献