CD14单克隆抗体[1D1F8]

AccuSift
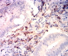
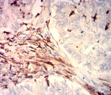
CD14 Mouse Monoclonal antibody[1D1F8]
货号 名称 规格 价格 货期 数量
AC1480 CD14单克隆抗体[1D1F8] 50ug ¥1250 1周
AC1480 CD14单克隆抗体[1D1F8] 100ug ¥2200 1周

The protein encoded by this gene is a surface antigen that is preferentially expressed on monocytes/macrophages. It cooperates with other proteins to mediate the innate immune response to bacterial lipopolysaccharide. Alternative splicing results in multiple transcript variants encoding the same protein.



Entrez GeneID:    929    

Swissprot :   P08571    

WB Predicted band size:    40kDa    

Host/Isotype:    Mouse IgG1    

Species Reactivity :   Human    

Immunogen:    Purified recombinant fragment of human CD14 (AA: 230-345) expressed in E. Coli.    

操作说明

WB    1/500 - 1/2000    

IHC    1/200 - 1/1000    

FCM    1/200 - 1/400    

ELISA    1/10000    

参考文献