CD147单克隆抗体[5A6F8]

AccuSift
CD147 Mouse Monoclonal antibody[5A6F8]
BSG; OK; 5F7; TCSF; EMMPRIN
货号 名称 规格 价格 货期 数量
AC1491 CD147单克隆抗体[5A6F8] 50ug ¥1250 1周
AC1491 CD147单克隆抗体[5A6F8] 100ug ¥2200 1周

The protein encoded by this gene is a plasma membrane protein that is important in spermatogenesis, embryo implantation, neural network formation, and tumor progression. The encoded protein is also a member of the immunoglobulin superfamily. Multiple transcript variants encoding different isoforms have been found for this gene.



Aliases:    BSG; OK; 5F7; TCSF; EMMPRIN    

Entrez GeneID :   682    

Swissprot:    P35613    

WB Predicted band size :   42.2kDa    

Host/Isotype :   Mouse IgG1      

Species Reactivity:    Human    

Immunogen :   Purified recombinant fragment of human CD147 (AA: extra 138-323) expressed in E. Coli.    

操作说明

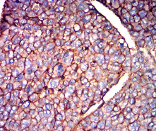
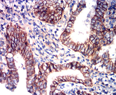
IHC    1/200-1/1000    

FCM    1/200-1/400    

ELISA    1/10000    

参考文献