MSH2单克隆抗体[2E2C7]

AccuSift
MSH2 Mouse Monoclonal antibody[2E2C7]
FCC1; COCA1; HNPCC; LCFS2; hMSH2; HNPCC1
货号 名称 规格 价格 货期 数量
AC2881 MSH2单克隆抗体[2E2C7] 50ug ¥1250 1周
AC2881 MSH2单克隆抗体[2E2C7] 100ug ¥2200 1周

This locus is frequently mutated in hereditary nonpolyposis colon cancer (HNPCC). When cloned, it was discovered to be a human homolog of the E. coli mismatch repair gene mutS, consistent with the characteristic alterations in microsatellite sequences (RER+ phenotype) found in HNPCC. Two transcript variants encoding different isoforms have been found for this gene.



Aliases :   FCC1; COCA1; HNPCC; LCFS2; hMSH2; HNPCC1    

Entrez GeneID:    4436    

Swissprot :   P43246    

WB Predicted band size :   104.7kDa    

Host/Isotype :   Mouse IgG1    

Species Reactivity:    Human, Mouse    

Immunogen:    Purified recombinant fragment of human MSH2 (AA: 442-586) expressed in E. Coli.    

操作说明

WB    1/500 - 1/2000    

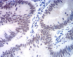
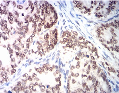
IHC    1/200 - 1/1000    

IF/ICC    1/200 - 1/1000    

FCM    1/200 - 1/400    

ELISA    1/10000    

参考文献