KRT2单克隆抗体[1A2B5]

AccuSift
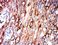
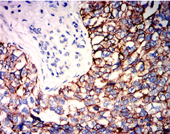
KRT2 Mouse Monoclonal antibody[1A2B5]
K2e; KRTE; CK-2e; KRT2A; KRT2E
货号 名称 规格 价格 货期 数量
AC2694 KRT2单克隆抗体[1A2B5] 50ug ¥1250 1周
AC2694 KRT2单克隆抗体[1A2B5] 100ug ¥2200 1周

The protein encoded by this gene is a member of the keratin gene family. The type II cytokeratins consist of basic or neutral proteins which are arranged in pairs of heterotypic keratin chains coexpressed during differentiation of simple and stratified epithelial tissues. This type II cytokeratin is expressed largely in the upper spinous layer of epidermal keratinocytes and mutations in this gene have been associated with bullous congenital ichthyosiform erythroderma. The type II cytokeratins are clustered in a region of chromosome 12q12-q13.



Aliases:    K2e; KRTE; CK-2e; KRT2A; KRT2E    

Entrez GeneID :   3849    

Swissprot:    P35908    

WB Predicted band size:    65.4kDa    

Host/Isotype :   Mouse IgG2a    

Species Reactivity :   Human    

Immunogen:    Purified recombinant fragment of human KRT2 (AA: 177-490) expressed in E. Coli.    

操作说明

WB    1/500 - 1/2000    

IHC    1/200 - 1/1000    

IF/ICC    1/200 - 1/1000    

FCM    1/200 - 1/400    

ELISA    1/10000    

参考文献