KRT20单克隆抗体[2C7B9]

AccuSift
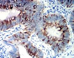
KRT20 Mouse Monoclonal antibody[2C7B9]
K20; CD20; CK20; CK-20; KRT21
货号 名称 规格 价格 货期 数量
AC2696 KRT20单克隆抗体[2C7B9] 50ug ¥1250 1周
AC2696 KRT20单克隆抗体[2C7B9] 100ug ¥2200 1周

The protein encoded by this gene is a member of the keratin family. The keratins are intermediate filament proteins responsible for the structural integrity of epithelial cells and are subdivided into cytokeratins and hair keratins. The type I cytokeratins consist of acidic proteins which are arranged in pairs of heterotypic keratin chains. This cytokeratin is a major cellular protein of mature enterocytes and goblet cells and is specifically expressed in the gastric and intestinal mucosa. The type I cytokeratin genes are clustered in a region of chromosome 17q12-q21.



Aliases:    K20; CD20; CK20; CK-20; KRT21    

Entrez GeneID:    54474    

Swissprot:    P35900    

WB Predicted band size:    48.5kDa    

Host/Isotype:    Mouse IgG1    

Species Reactivity:    Human    

Immunogen:    Purified recombinant fragment of human KRT20 (AA: 1-150) expressed in E. Coli.    

操作说明

IHC    1/200 - 1/1000    

ELISA    1/10000    

参考文献