FAP单克隆抗体[5D9F6]

AccuSift
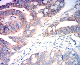
FAP Mouse Monoclonal antibody[5D9F6]
FAPA; SIMP; DPPIV; FAPalpha
货号 名称 规格 价格 货期 数量
AC2226 FAP单克隆抗体[5D9F6] 50ug ¥1250 1周
AC2226 FAP单克隆抗体[5D9F6] 100ug ¥2200 1周

The protein encoded by this gene is a homodimeric integral membrane gelatinase belonging to the serine protease family. It is selectively expressed in reactive stromal fibroblasts of epithelial cancers, granulation tissue of healing wounds, and malignant cells of bone and soft tissue sarcomas. This protein is thought to be involved in the control of fibroblast growth or epithelial-mesenchymal interactions during development, tissue repair, and epithelial carcinogenesis. Alternatively spliced transcript variants encoding different isoforms have been found for this gene. [provided by RefSeq, Apr 2014]



Aliases:    FAPA; SIMP; DPPIV; FAPalpha    

Entrez GeneID:    2191    

Swissprot:    Q12884     

WB Predicted band size :   87.7kDa    

Host/Isotype:    Mouse IgG1    

Species Reactivity :   Human    

Immunogen:    Purified recombinant fragment of human FAP (AA: extra 26-264) expressed in E. Coli.    

操作说明

IHC    1/200 - 1/1000    

FCM    1/200 - 1/400    

ELISA    1/10000    

参考文献