TFAP2A单克隆抗体[7D2B5]

AccuSift
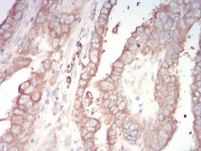
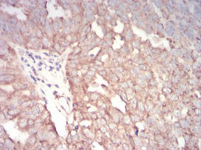
TFAP2A Mouse Monoclonal antibody[7D2B5]
AP-2; BOFS; AP2TF; TFAP2; AP-2alpha
货号 名称 规格 价格 货期 数量
AC3627 TFAP2A单克隆抗体[7D2B5] 50ug ¥1250 1周
AC3627 TFAP2A单克隆抗体[7D2B5] 100ug ¥2200 1周

The protein encoded by this gene is a transcription factor that binds the consensus sequence 5'-GCCNNNGGC-3'. The encoded protein functions as either a homodimer or as a heterodimer with similar family members. This protein activates the transcription of some genes while inhibiting the transcription of others. Defects in this gene are a cause of branchiooculofacial syndrome (BOFS). Three transcript variants encoding different isoforms have been found for this gene.


Aliases:    AP-2; BOFS; AP2TF; TFAP2; AP-2alpha    

Entrez GeneID:    7020    

Swissprot:    P05549       

WB Predicted band size:    48kDa    

Host/Isotype:    Mouse IgG1    

Species Reactivity:    Human,Mouse,Monkey,Rat    

Immunogen:    Purified recombinant fragment of human TFAP2A (AA: 1-100) expressed in E. Coli.    

操作说明

WB    1/500 - 1/2000    

IHC    1/200 - 1/1000    

FCM    1/200 - 1/400    

ELISA    1/10000    

参考文献