CD36单克隆抗体[5B6F5]

AccuSift
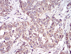
CD36 Mouse Monoclonal antibody[5B6F5]
FAT; GP4; GP3B; GPIV; CHDS7; PASIV; SCARB3; BDPLT10
货号 名称 规格 价格 货期 数量
AC1711 CD36单克隆抗体[5B6F5] 50ug ¥1250 1周
AC1711 CD36单克隆抗体[5B6F5] 100ug ¥2200 1周

The protein encoded by this gene is the fourth major glycoprotein of the platelet surface and serves as a receptor for thrombospondin in platelets and various cell lines. Since thrombospondins are widely distributed proteins involved in a variety of adhesive processes, this protein may have important functions as a cell adhesion molecule. It binds to collagen, thrombospondin, anionic phospholipids and oxidized LDL. It directly mediates cytoadherence of Plasmodium falciparum parasitized erythrocytes and it binds long chain fatty acids and may function in the transport and/or as a regulator of fatty acid transport. Mutations in this gene cause platelet glycoprotein deficiency. Multiple alternatively spliced transcript variants encoding the same protein have been found for this gene.



Aliases:    FAT; GP4; GP3B; GPIV; CHDS7; PASIV; SCARB3; BDPLT10    

Entrez GeneID :   948    

Swissprot :   P16671    

WB Predicted band size :   53kDa    

Host/Isotype :   Mouse IgG1    

Species Reactivity :   Human    

Immunogen:    Purified recombinant fragment of human CD36 (AA: 30-130) expressed in E. Coli.    

操作说明

IHC    1/200 - 1/1000    

ELISA    1/10000    

参考文献