CD361单克隆抗体[8F3D1]

AccuSift
CD361 Mouse Monoclonal antibody[8F3D1]
EVI2B; EVDB; D17S376
货号 名称 规格 价格 货期 数量
AC1716 CD361单克隆抗体[8F3D1] 50ug ¥1250 1周
AC1716 CD361单克隆抗体[8F3D1] 100ug ¥2200 1周

EVI2B is required for granulocyte differentiation and functionality of hematopoietic progenitor cells through the control of cell cycle progression and survival of hematopoietic progenitor cells.



Aliases :   EVI2B; EVDB; D17S376    

Entrez GeneID :   2124    

Swissprot :   P34910      

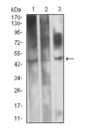
WB Predicted band size :   48.7kDa    

Host/Isotype:   Mouse IgG1    

Species Reactivity:    Human    

Immunogen :   Purified recombinant fragment of human CD361 (AA: extra 22-202) expressed in E. Coli.    

操作说明

WB    1/500 - 1/2000    

FCM    1/200 - 1/400    

ELISA    1/10000    

参考文献