CD33单克隆抗体[2C6P]

AccuSift
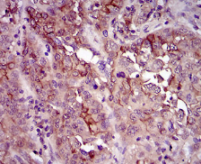
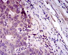
CD33 Mouse Monoclonal antibody[2C6P]
p67; SIGLEC3; SIGLEC-3
货号 名称 规格 价格 货期 数量
AC1684 CD33单克隆抗体[2C6P] 50ug ¥1250 1周
AC1684 CD33单克隆抗体[2C6P] 100ug ¥2200 1周

The protein encoded by this gene belongs to putative adhesion molecule of myelomonocytic-derived cells that mediates sialic-acid dependent binding to cells. Preferentially binds to alpha-2,6-linked sialic acid. The sialic acid recognition site may be masked by cis interactions with sialic acids on the same cell surface. In the immune response, may act as an inhibitory receptor upon ligand induced tyrosine phosphorylation by recruiting cytoplasmic phosphatase(s) via their SH2 domain(s) that block signal transduction through dephosphorylation of signaling molecules. Induces apoptosis in acute myeloid leukemia (in vitro) and CD33 plays potential key roles in the pathogenesis of Alzheimer's disease (AD)



Aliases:    p67; SIGLEC3; SIGLEC-3    

Entrez GeneID:    945    

Swissprot :   P20138     

WB Predicted band size:    39.8kDa    

Host/Isotype :   Mouse IgG1    

Species Reactivity:   Human    

Immunogen:    Purified recombinant fragment of human CD33 (AA: 15-237) expressed in E. Coli.    

操作说明

WB    1/500 - 1/2000    

IHC    1/200 - 1/1000    

FCM    1/200 - 1/400    

ELISA    1/10000    

参考文献