CCL2单克隆抗体[2D8E1]

AccuSift
CCL2 Mouse Monoclonal antibody[2D8E1]
HC11; MCAF; MCP1; MCP-1; SCYA2; GDCF-2; SMC-CF; HSMCR30
货号 名称 规格 价格 货期 数量
AC1388 CCL2单克隆抗体[2D8E1] 50ug ¥1250 1周
AC1388 CCL2单克隆抗体[2D8E1] 100ug ¥2200 1周

This gene is one of several cytokine genes clustered on the q-arm of chromosome 17. Cytokines are a family of secreted proteins involved in immunoregulatory and inflammatory processes. The protein encoded by this gene is structurally related to the CXC subfamily of cytokines. Members of this subfamily are characterized by two cysteines separated by a single amino acid. This cytokine displays chemotactic activity for monocytes and basophils but not for neutrophils or eosinophils. It has been implicated in the pathogenesis of diseases characterized by monocytic infiltrates, like psoriasis, rheumatoid arthritis and atherosclerosis. It binds to chemokine receptors CCR2 and CCR4.



Aliases :   HC11; MCAF; MCP1; MCP-1; SCYA2; GDCF-2; SMC-CF; HSMCR30    

Entrez GeneID:    6347    

Swissprot :   P13500     

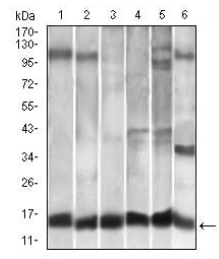
WB Predicted band size:    11kDa    

Host/Isotype:    Mouse IgG1    

Species Reactivity :   Human,Mouse,Rat,Monkey    

Immunogen :   Purified recombinant fragment of human CCL2 expressed in E. Coli.    

操作说明

WB    1/500 - 1/2000    

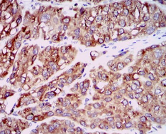
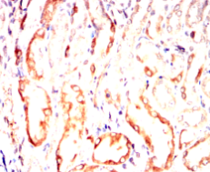
IHC    1/200 - 1/1000    

IF/ICC    1/200 - 1/1000    

FCM    1/200 - 1/400    

ELISA    1/10000    

参考文献