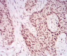
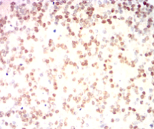
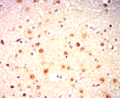
CBX2单克隆抗体[4C110]

AccuSift
CBX2 Mouse Monoclonal antibody[4C110]
M33; CDCA6; SRXY5
货号 名称 规格 价格 货期 数量
AC1375 CBX2单克隆抗体[4C110] 50ug ¥1250 1周
AC1375 CBX2单克隆抗体[4C110] 100ug ¥2200 1周

This gene encodes a component of the polycomb multiprotein complex, which is required to maintain the transcriptionally repressive state of many genes throughout development via chromatin remodeling and modification of histones. Disruption of this gene in mice results in male-to-female gonadal sex reversal. Mutations in this gene are also associated with gonadal dysgenesis in humans. Alternatively spliced transcript variants encoding different isoforms have been noted for this gene.


Aliases :   M33; CDCA6; SRXY5    

Entrez GeneID:    84733    

Swissprot:    Q14781    

WB Predicted band size:    56kDa    

Host/Isotype :   Mouse IgG1   

Species Reactivity :   Human,Mouse,Rat,Rabbit,Monkey    

Immunogen:    Purified recombinant fragment of human CBX2 (AA: 402-525) expressed in E. Coli.    

操作说明

WB    1/500 - 1/2000    

IHC    1/200 - 1/1000    

IF/ICC    1/200 - 1/1000    

FCM    1/200 - 1/400    

ELISA    1/10000    

参考文献