C3C单克隆抗体[4C6A8]

AccuSift
C3C Mouse Monoclonal antibody[4C6A8]
ASP; C3a; C3b; AHUS5; ARMD9; CPAMD1; HEL-S-62p
货号 名称 规格 价格 货期 数量
AC1337 C3C单克隆抗体[4C6A8] 50ug ¥1250 1周
AC1337 C3C单克隆抗体[4C6A8] 100ug ¥2200 1周

Complement component C3 plays a central role in the activation of complement system. Its activation is required for both classical and alternative complement activation pathways. The encoded preproprotein is proteolytically processed to generate alpha and beta subunits that form the mature protein, which is then further processed to generate numerous peptide products. The C3a peptide, also known as the C3a anaphylatoxin, modulates inflammation and possesses antimicrobial activity. Mutations in this gene are associated with atypical hemolytic uremic syndrome and age-related macular degeneration in human patients.



Aliases :   ASP; C3a; C3b; AHUS5; ARMD9; CPAMD1; HEL-S-62p    

Entrez GeneID  :  718    

Swissprot :   P01024    

WB Predicted band size:    187.1kDa    

Host/Isotype :   Mouse IgG1    

Species Reactivity:    Human    

Immunogen:    Purified recombinant fragment of human C3C (AA: 1521-1649) expressed in E. Coli.    

操作说明

WB    1/500 - 1/2000    

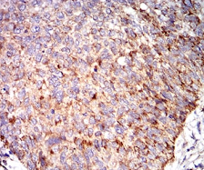
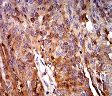
IHC    1/200 - 1/1000    

IF/ICC    1/200 - 1/1000    

FCM    1/200 - 1/400    

ELISA    1/10000    

参考文献