ADAM10单克隆抗体[6C3C7]

AccuSift
ADAM10 Mouse Monoclonal antibody[6C3C7]
RAK; kuz; AD10; AD18; MADM; CD156c; CDw156; HsT18717
货号 名称 规格 价格 货期 数量
AC1043 ADAM10单克隆抗体[6C3C7] 50ug ¥1250 1周
AC1043 ADAM10单克隆抗体[6C3C7] 100ug ¥2200 1周

Members of the ADAM family are cell surface proteins with a unique structure possessing both potential adhesion and protease domains. This gene encodes and ADAM family member that cleaves many proteins including TNF-alpha and E-cadherin. Alternate splicing results in multiple transcript variants encoding different proteins that may undergo similar processing.


Aliases:    RAK; kuz; AD10; AD18; MADM; CD156c; CDw156; HsT18717    

Entrez GeneID:    102    

Swissprot :   O14672      

WB Predicted band size :   84kDa    

Host/Isotype:    Mouse IgG1     

Species Reactivity:    Human    

Immunogen:    Purified recombinant fragment of human ADAM10 (AA: EXTRA(20-119)) expressed in E. Coli.    

操作说明

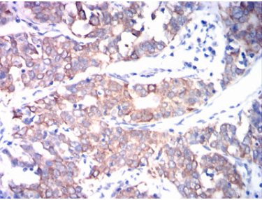
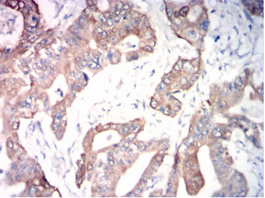
IHC    1/200-1/1000    

FCM    1/200-1/400    

ELISA    1/10000    

参考文献