AURKA单克隆抗体[4G10A]

AccuSift
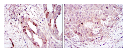
AURKA Mouse Monoclonal antibody[4G10A]
AIK; ARK1; AURA; BTAK; STK6; STK7; STK15; AURORA2; MGC34538; AURKA
货号 名称 规格 价格 货期 数量
AC1222 AURKA单克隆抗体[4G10A] 50ug ¥1250 1周
AC1222 AURKA单克隆抗体[4G10A] 100ug ¥2200 1周

Aurora A plays a role in cell cycle regulation during anaphase and/or telophase, in relation to the function of the centrosome/spindle pole region during chromosome segregation. Aurora A plays a key role during tumor development and progression and is overexpressed in many human cancers including breast, ovarian and colorectal. Aurora A is viewed as a potential target for anticancer drug treatment.Tissue specificity: Highly expressed in testis and weakly in skeletal muscle, thymus and spleen. Also highly expressed in colon, ovarian, prostate, neuroblastoma, breast and cervical cancer cell lines.

    

Aliases : AIK; ARK1; AURA; BTAK; STK6; STK7; STK15; AURORA2; MGC34538; AURKA    

Entrez GeneID : 6790    

Swissprot : O14965    

WB Predicted band size : 48kDa    

Host/Isotype:  Mouse IgG1        

Species Reactivity: Human,Rat,Monkey    

Immunogen:  Purified recombinant fragment of human AURKA expressed in E. Coli.    


操作说明

WB    1/500 - 1/2000    

IHC    1/200 - 1/1000    

ELISA    1/10000    

参考文献