ASH2L单克隆抗体[6F6B9]

AccuSift
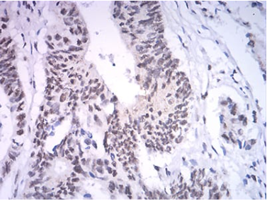
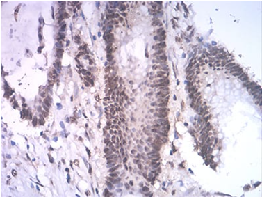
ASH2L Mouse Monoclonal antibody[6F6B9]
ASH2; Bre2; ASH2L1; ASH2L2
货号 名称 规格 价格 货期 数量
AC1168 ASH2L单克隆抗体[6F6B9] 50ug ¥1250 1周
AC1168 ASH2L单克隆抗体[6F6B9] 100ug ¥2200 1周

ASH2L (Ash2 (Absent, Small, Or Homeotic)-Like (Drosophila)) is a Protein Coding gene. Diseases associated with ASH2L include Kabuki Syndrome 1. Among its related pathways are Developmental Biology and Signaling by Wnt. GO annotations related to this gene include transcription regulatory region DNA binding and histone methyltransferase activity (H3-K4 specific).

    

Aliases    ASH2; Bre2; ASH2L1; ASH2L2    

Entrez GeneID    9070    

Swissprot    Q9UBL3        

WB Predicted band size    68.7kDa    

Host/Isotype    Mouse IgG1    

Species Reactivity    Human,Mouse    

Immunogen    Purified recombinant fragment of human ASH2L (AA: 493-628) expressed in E. Coli.    


操作说明

WB    1/500 - 1/2000    

IHC    1/200 - 1/1000    

FCM    1/200 - 1/400    

ELISA    1/10000    

参考文献