ASH2L单克隆抗体[6BH10]

AccuSift
ASH2L Mouse Monoclonal antibody[6BH10]
ASH2; Bre2; ASH2L1; ASH2L2
货号 名称 规格 价格 货期 数量
AC1167 ASH2L单克隆抗体[6BH10] 50ug ¥1250 1周
AC1167 ASH2L单克隆抗体[6BH10] 100ug ¥2200 1周

ASH2L (ASH2 Like Histone Lysine Methyltransferase Complex Subunit) is a Protein Coding gene. Diseases associated with ASH2L include Kabuki Syndrome 1. Among its related pathways are Chromatin organization and Signaling by GPCR. GO annotations related to this gene include transcription regulatory region DNA binding and histone methyltransferase activity (H3-K4 specific).

    

Aliases :   ASH2; Bre2; ASH2L1; ASH2L2    

Entrez GeneID:   9070    

Swissprot:  Q9UBL3    

WB Predicted band size :  68.7kDa    

Host/Isotype:  Mouse IgG1    

Species Reactivity:   Human    

Immunogen:   Purified recombinant fragment of human ASH2L (AA: 493-628) expressed in E. Coli.    


操作说明

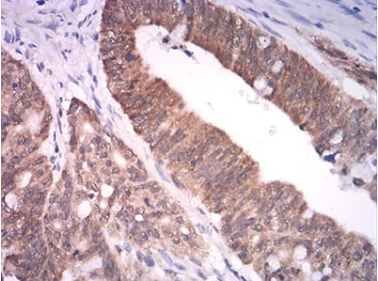
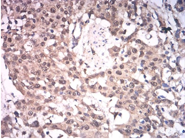
IHC    1/200 - 1/1000    

ELISA    1/10000    

参考文献