ALDH6A1单克隆抗体[6H9B8]

AccuSift
ALDH6A1 Mouse Monoclonal antibody[6H9B8]
MMSDH; MMSADHA
货号 名称 规格 价格 货期 数量
AC1096 ALDH6A1单克隆抗体[6H9B8] 50ug ¥1250 1周
AC1096 ALDH6A1单克隆抗体[6H9B8] 100ug ¥2200 1周

This gene encodes a member of the aldehyde dehydrogenase protein family. The encoded protein is a mitochondrial methylmalonate semialdehyde dehydrogenase that plays a role in the valine and pyrimidine catabolic pathways. This protein catalyzes the irreversible oxidative decarboxylation of malonate and methylmalonate semialdehydes to acetyl- and propionyl-CoA. Methylmalonate semialdehyde dehydrogenase deficiency is characterized by elevated beta-alanine, 3-hydroxypropionic acid, and both isomers of 3-amino and 3-hydroxyisobutyric acids in urine organic acids. Alternate splicing results in multiple transcript variants.


Aliases    MMSDH; MMSADHA    

Entrez GeneID    4329    

Swissprot    Q02252     

WB Predicted band size    57.8kDa    

Host/Isotype    Mouse IgG1      

Species Reactivity    Human    

Immunogen    Purified recombinant fragment of human ALDH6A1 (AA: 1-195) expressed in E. Coli.    


操作说明

WB    1/500 - 1/2000    

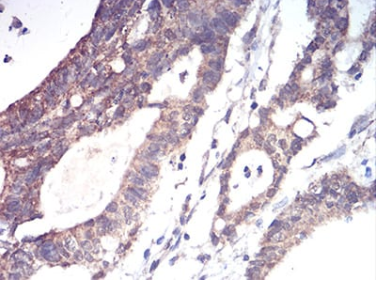
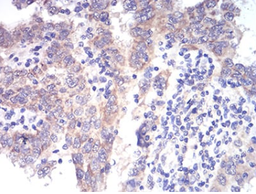
IHC    1/200 - 1/1000    

IF/ICC    1/200 - 1/1000    

FCM    1/200 - 1/400    

ELISA    1/10000    

参考文献