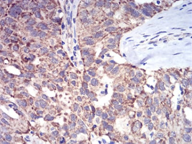
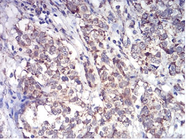
ALDH6A1单克隆抗体[6H9B7]

AccuSift
ALDH6A1 Mouse Monoclonal antibody[6H9B7]
MMSDH; MMSADHA
货号 名称 规格 价格 货期 数量
AC1095 ALDH6A1单克隆抗体[6H9B7] 50ug ¥1250 1周
AC1095 ALDH6A1单克隆抗体[6H9B7] 100ug ¥2200 1周

This gene encodes a member of the aldehyde dehydrogenase protein family. The encoded protein is a mitochondrial methylmalonate semialdehyde dehydrogenase that plays a role in the valine and pyrimidine catabolic pathways. This protein catalyzes the irreversible oxidative decarboxylation of malonate and methylmalonate semialdehydes to acetyl- and propionyl-CoA. Methylmalonate semialdehyde dehydrogenase deficiency is characterized by elevated beta-alanine, 3-hydroxypropionic acid, and both isomers of 3-amino and 3-hydroxyisobutyric acids in urine organic acids. Alternate splicing results in multiple transcript variants.


Aliases:    MMSDH; MMSADHA    

Entrez GeneID:    4329    

Swissprot :   Q02252    

WB Predicted band size:    57.8kDa    

Host/Isotype :   Mouse IgG1    

Species Reactivity :   Human    

Immunogen :   Purified recombinant fragment of human ALDH6A1 (AA: 1-195) expressed in E. Coli.    

操作说明

IHC    1/200 - 1/1000    

IF/ICC    1/200 - 1/1000    

FCM    1/200 - 1/400    

ELISA    1/10000    

参考文献