ALDH1A1单克隆抗体[2G1G4]

AccuSift
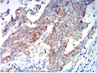
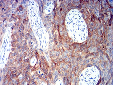
ALDH1A1 Mouse Monoclonal antibody[2G1G4]
ALDC; ALDH1; HEL-9; HEL12; PUMB1; ALDH11; RALDH1; ALDH-E1; HEL-S-53e
货号 名称 规格 价格 货期 数量
AC1089 ALDH1A1单克隆抗体[2G1G4] 50ug ¥1250 1周
AC1089 ALDH1A1单克隆抗体[2G1G4] 100ug ¥2200 1周

he protein encoded by this gene belongs to the aldehyde dehydrogenase family. Aldehyde dehydrogenase is the next enzyme after alcohol dehydrogenase in the major pathway of alcohol metabolism. There are two major aldehyde dehydrogenase isozymes in the liver, cytosolic and mitochondrial, which are encoded by distinct genes, and can be distinguished by their electrophoretic mobility, kinetic properties, and subcellular localization. This gene encodes the cytosolic isozyme. Studies in mice show that through its role in retinol metabolism, this gene may also be involved in the regulation of the metabolic responses to high-fat diet.

    

Aliases    ALDC; ALDH1; HEL-9; HEL12; PUMB1; ALDH11; RALDH1; ALDH-E1; HEL-S-53e    

Entrez GeneID    216    

Swissprot    P00352      

WB Predicted band size    54.9kDa    

Host/Isotype    Mouse IgG1    

Species Reactivity    Human    

Immunogen    Purified recombinant fragment of human ALDH1A1 (AA: 1-110) expressed in E. Coli.    

操作说明

WB    1/500 - 1/2000    

IHC    1/200 - 1/1000    

ELISA    1/10000    

参考文献