ALDH1A1单克隆抗体[2B2G1]

AccuSift
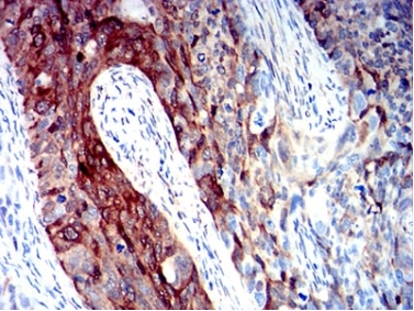
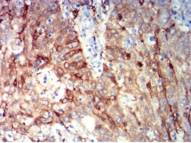
ALDH1A1 Mouse Monoclonal antibody[2B2G1]
ALDC; ALDH1; HEL-9; HEL12; PUMB1; ALDH11; RALDH1; ALDH-E1; HEL-S-53e
货号 名称 规格 价格 货期 数量
AC1088 ALDH1A1单克隆抗体[2B2G1] 50ug ¥1250 1周
AC1088 ALDH1A1单克隆抗体[2B2G1] 100ug ¥2200 1周

The protein encoded by this gene belongs to the aldehyde dehydrogenase family. Aldehyde dehydrogenase is the next enzyme after alcohol dehydrogenase in the major pathway of alcohol metabolism. There are two major aldehyde dehydrogenase isozymes in the liver, cytosolic and mitochondrial, which are encoded by distinct genes, and can be distinguished by their electrophoretic mobility, kinetic properties, and subcellular localization. This gene encodes the cytosolic isozyme. Studies in mice show that through its role in retinol metabolism, this gene may also be involved in the regulation of the metabolic responses to high-fat diet.


Aliases:    ALDC; ALDH1; HEL-9; HEL12; PUMB1; ALDH11; RALDH1; ALDH-E1; HEL-S-53e    

Entrez GeneID:    216    

Swissprot:    P00352        

WB Predicted band size:    54.9kDa    

Host/Isotype:    Mouse IgG1    

Species Reactivity:    Human    

Immunogen:    Purified recombinant fragment of human ALDH1A1 (AA: 1-110) expressed in E. Coli.    

操作说明

WB    1/500 - 1/2000    

IHC    1/200 - 1/1000    

FCM    1/200 - 1/400    

ELISA    1/10000    

参考文献