SK2单克隆抗体[9C5E1]

AccuSift
SK2 Mouse Monoclonal antibody[9C5E1]
SPHK2; SK-2; SPK 2; SPK-2
货号 名称 规格 价格 货期 数量
AC3504 SK2单克隆抗体[9C5E1] 50ug ¥1250 1周
AC3504 SK2单克隆抗体[9C5E1] 100ug ¥2200 1周

This gene encodes one of two sphingosine kinase isozymes that catalyze the phosphorylation of sphingosine into sphingosine 1-phosphate. Sphingosine 1-phosphate mediates many cellular processes including migration, proliferation and apoptosis, and also plays a role in several types of cancer by promoting angiogenesis and tumorigenesis. The encoded protein may play a role in breast cancer proliferation and chemoresistance. Alternatively spliced transcript variants encoding multiple isoforms have been observed for this gene.


Aliases:    SPHK2; SK-2; SPK 2; SPK-2    

Entrez GeneID:    56848    

Swissprot :   Q9NRA0    

WB Predicted band size:    69.2kDa    

Host/Isotype:    Mouse IgG1    

Species Reactivity:    Human    

Immunogen:    Synthesized peptide of human SK2 (AA: 36-52).    


操作说明

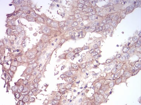
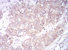
IHC    1/200 - 1/1000    

IF/ICC    1/200 - 1/1000    

FCM    1/200 - 1/400    

ELISA    1/10000    

参考文献