RAN单克隆抗体[8D1H1]

AccuSift
RAN Mouse Monoclonal antibody[8D1H1]
TC4; Gsp1; ARA24
货号 名称 规格 价格 货期 数量
AC3359 RAN单克隆抗体[8D1H1] 50ug ¥1250 1周
AC3359 RAN单克隆抗体[8D1H1] 100ug ¥2200 1周

RAN (ras-related nuclear protein) is a small GTP binding protein belonging to the RAS superfamily that is essential for the translocation of RNA and proteins through the nuclear pore complex. The RAN protein is also involved in control of DNA synthesis and cell cycle progression. Nuclear localization of RAN requires the presence of regulator of chromosome condensation 1 (RCC1). Mutations in RAN disrupt DNA synthesis. Because of its many functions, it is likely that RAN interacts with several other proteins. RAN regulates formation and organization of the microtubule network independently of its role in the nucleus-cytosol exchange of macromolecules. RAN could be a key signaling molecule regulating microtubule polymerization during mitosis. RCC1 generates a high local concentration of RAN-GTP around chromatin which, in turn, induces the local nucleation of microtubules. RAN is an androgen receptor (AR) coactivator that binds differentially with different lengths of polyglutamine within the androgen receptor. Polyglutamine repeat expansion in the AR is linked to Kennedy's disease (X-linked spinal and bulbar muscular atrophy). RAN coactivation of the AR diminishes with polyglutamine expansion within the AR, and this weak coactivation may lead to partial androgen insensitivity during the development of Kennedy's disease.

  

Aliases:    TC4; Gsp1; ARA24    

Entrez GeneID:    5901    

Swissprot:    P62826    

WB Predicted band size:    24.4kDa    

Host/Isotype:    Mouse IgG1    

Species Reactivity:    Human,Rat,Monkey    

Immunogen :   Purified recombinant fragment of human RAN (AA: 1-216) expressed in E. Coli.    

操作说明

WB    1/500 - 1/2000    

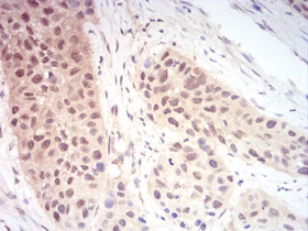
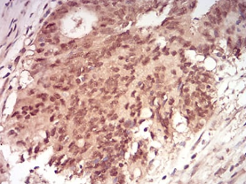
IHC    1/200 - 1/1000    

FCM    1/200 - 1/400    

ELISA    1/10000    

参考文献