RANBP9单克隆抗体[6E10H]

AccuSift
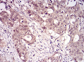
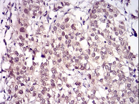
RANBP9 Mouse Monoclonal antibody[6E10H]
BPM-L; BPM90; RANBPM; RanBP7
货号 名称 规格 价格 货期 数量
AC3360 RANBP9单克隆抗体[6E10H] 50ug ¥1250 1周
AC3360 RANBP9单克隆抗体[6E10H] 100ug ¥2200 1周

This gene encodes a protein that binds RAN, a small GTP binding protein belonging to the RAS superfamily that is essential for the translocation of RNA and proteins through the nuclear pore complex. The protein encoded by this gene has also been shown to interact with several other proteins, including met proto-oncogene, homeodomain interacting protein kinase 2, androgen receptor, and cyclin-dependent kinase 11.

    

Aliases:    BPM-L; BPM90; RANBPM; RanBP7    

Entrez GeneID:    10048    

Swissprot:    Q96S59    

WB Predicted band size:    77.8kDa    

Host/Isotype:    Mouse IgG1    

Species Reactivity:    Human,Mouse,Rat,Monkey,Rabbit    

Immunogen:    Purified recombinant fragment of human RANBP9 (AA: 453-680) expressed in E. Coli.    

操作说明

WB    1/500 - 1/2000    

IHC    1/100 - 1/500    

IF/ICC    1/50 - 1/500    

FCM    1/200 - 1/400    

ELISA    1/10000    

参考文献