PIK3R1单克隆抗体[6G10A]

AccuSift
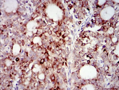
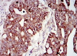
PIK3R1 Mouse Monoclonal antibody[6G10A]
p85; GRB1; p85-ALPHA
货号 名称 规格 价格 货期 数量
AC3174 PIK3R1单克隆抗体[6G10A] 50ug ¥1250 1周
AC3174 PIK3R1单克隆抗体[6G10A] 100ug ¥2200 1周

Phosphatidylinositol 3-kinase phosphorylates the inositol ring of phosphatidylinositol at the 3-prime position. The enzyme comprises a 110 kD catalytic subunit and a regulatory subunit of either 85, 55, or 50 kD. This gene encodes the 85 kD regulatory subunit. Phosphatidylinositol 3-kinase plays an important role in the metabolic actions of insulin, and a mutation in this gene has been associated with insulin resistance. Alternative splicing of this gene results in four transcript variants encoding different isoforms.


Aliases:    p85; GRB1; p85-ALPHA    

Entrez GeneID:    5295    

Swissprot :   P27986    

WB Predicted band size:    83.6kDa    

Host/Isotype :   Mouse IgG1    

Species Reactivity:    Human,Mouse    

Immunogen:    Purified recombinant fragment of human PIK3R1 (AA: 159-388) expressed in E. Coli.    

操作说明

IHC    1/200 - 1/1000    

IF/ICC    1/100    

FCM    1/200 - 1/400    

ELISA    1/10000    

参考文献