PHB单克隆抗体[5H7A7]

AccuSift
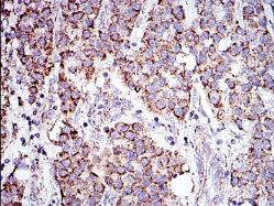
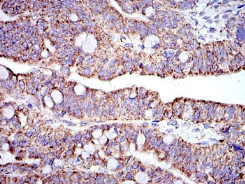
PHB Mouse Monoclonal antibody[5H7A7]
PHB1
货号 名称 规格 价格 货期 数量
AC3162 PHB单克隆抗体[5H7A7] 50ug ¥1250 1周
AC3162 PHB单克隆抗体[5H7A7] 100ug ¥2200 1周

Prohibitin is an evolutionarily conserved gene that is ubiquitously expressed. It is thought to be a negative regulator of cell proliferation and may be a tumor suppressor. Mutations in PHB have been linked to sporadic breast cancer. Prohibitin is expressed as two transcripts with varying lengths of 3' untranslated region. The longer transcript is present at higher levels in proliferating tissues and cells, suggesting that this longer 3' untranslated region may function as a trans-acting regulatory RNA.


Aliases:    PHB1    

Entrez GeneID:    5245    

Swissprot:    P35232     

WB Predicted band size:    30kDa    

Host/Isotype:    Mouse IgG1    

Species Reactivity:    Human,Mouse,Rat,Monkey    

Immunogen:    Purified recombinant fragment of human PHB expressed in E. Coli.    

操作说明

WB    1/500 - 1/2000    

IHC    1/100 - 1/8000    

IF/ICC    1/50-1/500    

FCM    1/200 - 1/400    

ELISA    1/10000    

参考文献